2026-04-03

「セラミック治療、結局どっちを選べばいいの?」
実際、このように悩まれる方は多いです。
e-maxとジルコニアは、共に現代の歯科治療における良質な素材ですが、適材適所で選ばないと「数年で割れる」「不自然に白い」といった後悔に繋がります。
本記事では、今日からあなたが自信を持って素材を決められる診断基準を公開します。

早速、e-max&ジルコニアのどちらを選ぶべきか、それぞれの特徴を踏まえながら解説していきます。
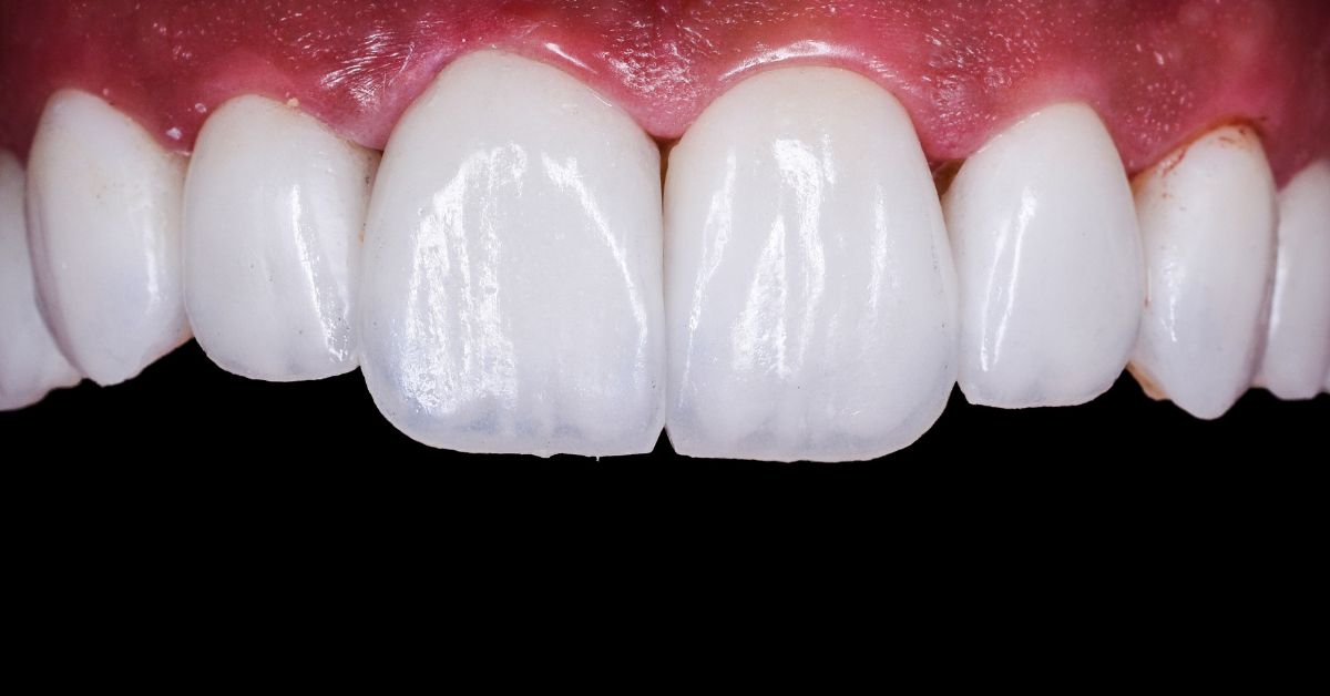
前歯の審美性を極限まで追求したいのであれば、e-maxです。
e-maxは「ニケイ酸リチウムガラス」というガラス系のセラミックで、天然の歯とほぼ同じ光の透過性を持っています。
そのため、隣の自分の歯と見分けがつかないほど自然な仕上がりを実現できます。
また、e-maxは歯科用レジン(接着剤)との相性が非常に良く、歯と強固に一体化します。
被せ物の隙間から二次虫歯になるリスクを大幅に抑えられ、結果として「自分の歯をできるだけ長持ちさせたい」というニーズに応えることができます。
ただし、ガラスに近い性質を持つため、極端に強い噛み合わせや、睡眠中の激しい歯ぎしりの自覚がある場合は注意が必要です。
一方で、奥歯のように強い咀嚼力がかかる部位や、複数本の歯を繋ぐブリッジ治療を検討している方にはジルコニアが最適です。
ジルコニアは人工ダイヤモンドとも呼ばれるほどの圧倒的な強度を誇り、従来のセラミックの欠点であった割れやすさを克服しています。
さらに、ジルコニアには「不透明」という特性があります。
一見デメリットに聞こえるかもしれませんが、神経を抜いて土台が黒ずんでしまっている歯にとっては、変色を遮断して美しく見せるための武器となります。
食いしばりの癖がある方や、スポーツなどで歯を強く食いしばる機会が多い方は、耐久性を最優先してジルコニアを選択するのが賢明な判断と言えるでしょう。

素材選びで後悔しないためには、感覚的なイメージだけでなく数値や特性に基づいた客観的な比較が不可欠です。
ここでは、強度、見た目、寿命、コストなど、患者様が特に気にされる6つの主要項目を比較し、背景にある理由を解説します。
| 項目 | e-max(オールセラミック) | ジルコニア |
|---|---|---|
| 主な特徴 | ガラス系で透明感が極めて高い | 人工ダイヤ素材で圧倒的に強い |
| 強度(MPa) | 約400MPa(天然歯に近い) | 1,000〜1,200MPa以上(最強) |
| 見た目(透明感) | ◎(天然歯と見分けがつかない) | ◯〜△(白っぽく不透明な傾向) |
| 推奨部位 | 前歯・目立つ場所 | 奥歯・ブリッジ・インプラント |
| 歯を削る量 | ◯(比較的少なく済む) | △(厚みが必要な場合がある) |
| 割れるリスク | △(強い衝撃で割れることがある) | ◎(ほぼ割れない) |
| 自分の歯への優しさ | ◎(相手の歯を削りにくい) | △(調整不足だと相手を摩耗させる) |
| 変色した土台の隠蔽 | ×(土台の色が透けやすい) | ◎(真っ白に隠せる) |
| 寿命の目安 | 10〜15年程度 | 10〜20年程度 |
| 費用相場(1本) | 8万円〜13万円 | 10万円〜18万円 |
強度の単位であるMPa(メガパスカル)で比較すると、e-maxが約400MPaであるのに対し、ジルコニアは1,000〜1,200MPa以上と、実に3倍近い差があります。
e-maxが「天然歯に近いしなやかさ」を持つのに対し、ジルコニアは「金属に匹敵する硬さ」を持つことを意味します。
しかし、審美性(見た目の美しさ)においては評価が逆転します。
e-maxは光を透過させるため、歯の内部から溢れるような自然なツヤを再現できますが、ジルコニアは光を遮る性質が強いため、単体で使用するとどうしても白っぽく浮いた感じになりやすい傾向があります。
近年では透明度の高いジルコニアも開発されていますが、それでも繊細な色調再現においてはe-maxに一日の長があります。
寿命の目安については、どちらも適切なメインテナンスを行えば10年から15年以上、長ければ20年近く持ちます。
しかし、故障のモードが異なります。
e-maxは強い衝撃で割れるリスクがありますが、性質が逆に自分の歯を守る場合もあります。
ジルコニアは素材自体が割れることは稀ですが、硬さゆえに、噛み合わせの調整が不十分だと対合する歯(噛み合う相手の歯)を摩耗させてしまったり、土台の歯に過度な負担をかけてしまったりするリスクを孕んでいます。
再治療が必要になった際、e-maxは削って除去しやすいですが、ジルコニアは非常に硬いため、除去作業が歯科医師にとっても患者様にとっても負担が大きくなるという点も知っておくべき重要なポイントです。
費用面では、一般的にジルコニアの方が加工に特殊な設備(CAD/CAM)を要するため、e-maxよりも2〜5万円ほど高めに設定されているクリニックが多いです。
e-maxの相場は8〜13万円、ジルコニアは10〜18万円程度がボリュームゾーンとなります。
適応部位としては、前歯の単冠(1本だけ被せる場合)やラミネートベニアにはe-maxが、奥歯のクラウンやブリッジ、インプラントの上部構造にはジルコニアが選ばれるのが現在の歯科業界のスタンダードです。
どちらの素材も自費診療(保険外)となるため、初期費用はかかりますが、その後の再治療リスクの低さや審美的な満足度を考えれば、長期的なコストパフォーマンスは極めて高いと言えます。

「セラミックにしたのにすぐダメになった」というトラブルは、素材の性質と症例が一致していない時に起こります。
ここでは、実際に歯科医院でよく相談される3つの失敗事例を紹介し、なぜそのような事態になったのか、どうすれば防げたのかを深掘りします。
失敗の主な原因は、噛み合わせの強さに対する素材の強度不足です。
e-maxは天然歯と同程度の硬さ(約400MPa)を持っているため、通常の使用では問題ありませんが、奥歯は体重の数倍もの力が加わる場所です。
特に睡眠中の無意識な歯ぎしりは、起きている時の数倍の力が歯にかかります。
強い衝撃が繰り返され、ガラス系素材であるe-maxに微小な亀裂が入り、最終的に破折に至ったと考えられます。
奥歯の治療、特に一番奥の大きな歯(第二大臼歯)などの場合は、審美性よりも強度を優先してジルコニアを選択すべきであった事例と言えます。
前歯は顔の印象を左右する最も重要な部位です。
ここに「フルジルコニア」を使用すると、透明感が不足しているため、隣の天然歯が持つ透き通った質感が再現できず、マットで平坦な白さになってしまう可能性があります。
防ぐには、ジルコニアの表面に審美性の高いセラミックを焼き付けるレイヤリング法を採るか、最初から透明感の強いe-maxを選ぶべきでした。
また、自分の歯の色が非常に明るい場合は、ジルコニアの不透明さが逆に不自然さを際立たせてしまうため、色選びだけでなく光の通し方まで考慮した素材選びが求められます。
ジルコニアを使用した際に起こりうる、最も深刻な失敗の一つです。
ジルコニアは人工ダイヤモンド並みの強度がありますが、硬すぎるがゆえに噛み合わせ調整が不十分だと、土台となっている自分の歯に過度な力が集中し、歯の根っこが折れてしまう可能性があります。
実はここに、e-maxの隠れたメリットがあります。
e-maxはあえて過度な負荷がかかった時に身代わりになって割れることで、大切な歯根を守る安全装置のような役割も果たしているのです。
自分の歯が折れてしまえば抜歯するしかありませんが、被せ物が割れただけなら作り直せます。
どちらが先に壊れるべきかという視点は、歯を長持ちさせる上で非常に重要な専門的見解だと言えるでしょう。

セラミック治療を検討する際、誰もが直面するのが「なぜ歯科医院によってこんなに値段が違うのか?」という疑問です。
同じe-maxやジルコニアという名前でも、技術料や材料の質など、目に見えないコストの差が反映されています。
歯科医院の料金設定には、大きく分けて「材料費」「技工料」「歯科医師の技術料」の3つが含まれます。
特にジルコニアの場合、ブロックのメーカー(国産、ドイツ製、アメリカ製など)によって原価が異なりますし、色のグラデーションが最初からついている高品質な素材を使うほど費用は上がります。
また、提携している技工所レベルも重要です。
熟練の技工士がマイクロスコープ(歯科用顕微鏡)を用いて精密に作り上げる被せ物は、流れ作業で作られるものより当然コストがかかりますが、適合性や審美性は格段に向上します。
単に素材名だけで比較せず、クリニックがどのようなプロセスで製作しているかの確認が、納得のいく投資に繋がります。
「激安セラミック」を謳うクリニックもありますが、極端に安い場合には注意が必要です。
例えば、接着工程を簡略化していたり、型取りの精度が低かったりすると、被せ物と歯の間にわずかな段差が生じます。
そこから細菌が入り込み、数年後に二次虫歯が発生して再治療が必要になるケースは少なくありません。
再治療になれば、再度高額な費用がかかるだけでなく、自分の歯をさらに削ることになり、歯の寿命を縮めてしまいます。
最初から精度が高く、保証期間もしっかり設定されているクリニックを選ぶことは、一見高く見えても、10年・20年というスパンで見れば最も経済的な選択となります。

高価なセラミック治療を受けた後、美しさと機能をどれだけ維持できるかは、治療後のあなたのケア次第です。
入れたら終わりではなく、そこからが新しい歯との生活のスタートです。
寿命を最大限に延ばすための具体的な方法を解説します。
セラミックを長持ちさせるための最大の保険は、就寝時のナイトガード作成です。
人間は寝ている間に、意識的な咀嚼の数倍から十数倍の力で歯ぎしりや食いしばりを行っていると言われています。
ジルコニアやe-maxであっても、毎晩の負荷はセラミックや土台の歯にダメージを蓄積させます。
ナイトガードを装着することで、過度な力を分散・吸収させ、セラミックの破折や自分の歯の摩耗を防げます。
自費診療を受ける方の多くが同時にナイトガードを推奨されるのは、決して無理な勧誘ではなく、高価な治療を物理的な破壊から守るための不可欠なステップなのです。
お口の中の環境は、年齢や体調の変化とともに常に変わっていきます。
そのため、3ヶ月から半年に一度の定期健診で、噛み合わせに微小な変化がないかの確認が重要です。
わずか数ミクロンのズレが特定の歯に負担を集中させ、セラミックの脱離や破損の引き金になります。
専門の歯科医によるクリーニングで清潔な状態を保てれば、被せ物周囲の健康を維持できます。

最後に、カウンセリングの現場でよくいただく質問についてお答えします。
はい、e-maxもジルコニアも完全にメタルフリー(金属を一切使用しない)素材ですので、金属アレルギーの方でも安心してお使いいただけます。
また、金属を使用しないことで、将来的に歯茎が黒ずむ心配がないのも大きなメリットです。
どちらの素材も、保険適用のプラスチック(レジン)のように水分を吸収して変色することはないため、何年経っても治療当時の白さを維持できます。
ただし、表面にステイン(着色汚れ)が付着する可能性はありますが、歯科医院でのクリーニングで簡単に落とせます。
非常に難しい質問ですが、私なら「見える場所(前歯)ならe-max、見えない場所(奥歯)ならジルコニア」という基本に忠実な選択をします。
ただし、自分に強い食いしばりの自覚があれば、前歯であっても強度を優先してジルコニアのレイヤリングを選択するかもしれません。
最終的には素材のスペックだけでなく、自分のお口の状況を把握し、信頼できる主治医の診断を信頼するのが一番です。

e-maxとジルコニア、どちらが絶対的に優れているということはありません。
大切なのは、それぞれの特性を理解した上で、治療部位や生活習慣、そして何を最も優先したいか(美しさか、強さか)に合わせて選ぶことです。
本記事でご紹介した内容を参考に、あなたにとってのベストな選択を見つけてください。
最終的な判断は、レントゲン写真や噛み合わせの精密な診断があって初めて確定するものです。
当院では、最新のデジタル設備を用いた精密なシミュレーションと、患者様一人ひとりに寄り添った丁寧なカウンセリングを行い、最適な素材をご提案します。
後悔しない治療のために、まずは無料カウンセリングでお悩みをお聞かせください。
【自由診療の標準的費用・リスク・副作用】
費用について
リスク・副作用
セラミック治療における一般的なリスク・副作用
治療後は正しく歯を磨く必要があります。清掃が不十分だと虫歯になったり歯周病を発症してしまいます。定期検診を受診してください。
個々のリスクは口腔内状態や既往歴で異なります。
保証・メインテナンス
保証・再治療・定期メインテナンスの条件は別途ご案内します。
医療機関情報
医療機関名: 博多プライベート歯科
所在地: 博多駅 徒歩3分(福岡市博多区博多駅前2-18-25ホテル日航福岡地下1F)
電話番号: 092-260-3688
診療科目: 審美歯科・精密義歯(入れ歯)
担当医: 田中 峻太郎
診療時間: 10:00~13:30/14:30~18:00
休診日: 月曜・日曜・祝日