上の歯だけ矯正って出来る??

2025/12/13

こんにちは、博多プライベート歯科の歯科衛生士です😊

矯正を考えられている方の中には、
「上の歯だけキレイにできないかな~?」
と思っている方も多いんじゃないでしょうか?

実は、上の歯だけの矯正が可能なケースもあります🙆🏻‍♀️
当院でも、
上だけの部分矯正でキレイになっている患者さん、
たくさんいらっしゃいますよ~😄💕
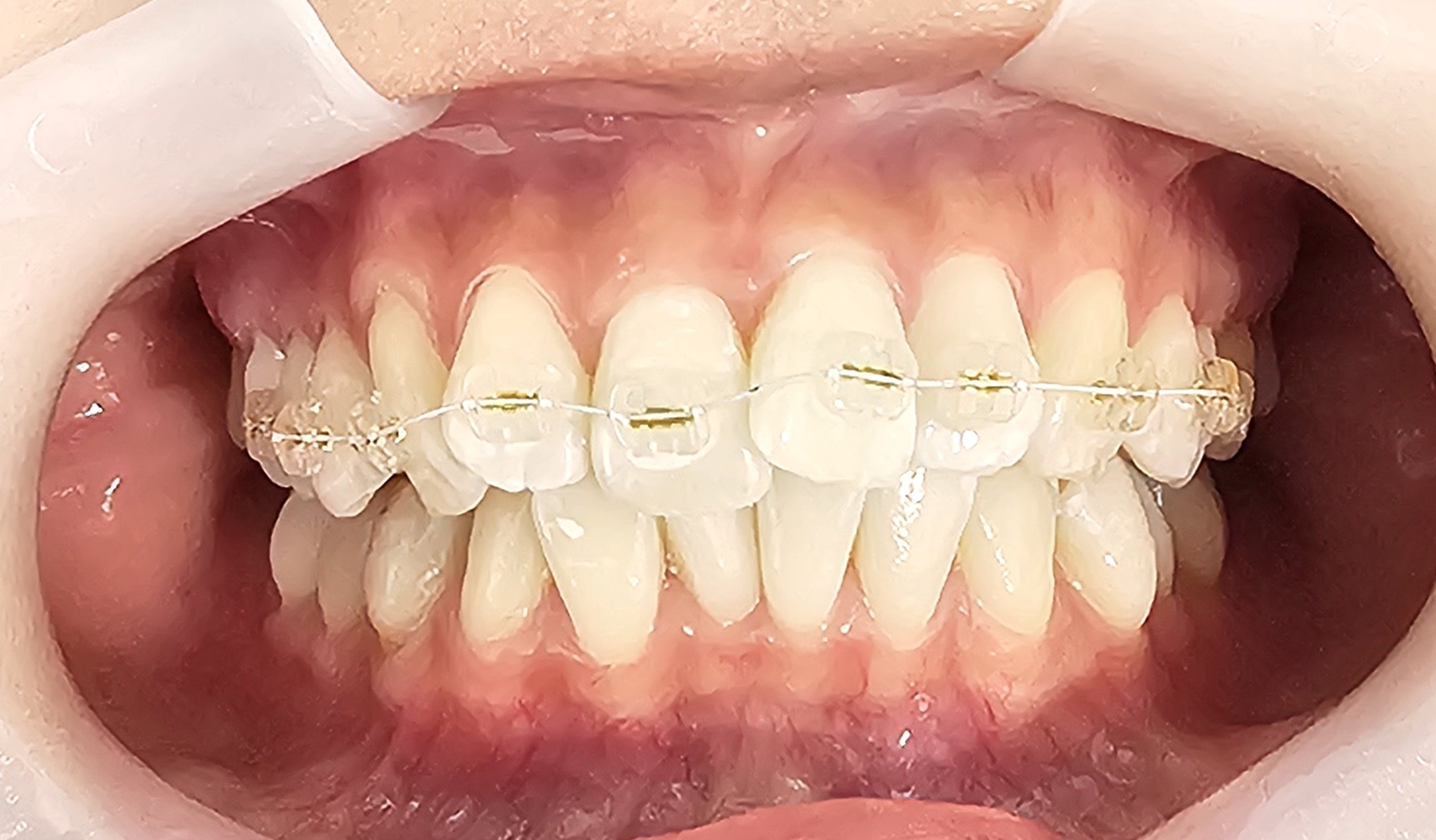
実際の治療途中の患者さんの写真です(治療開始時)👇🏻👇🏻

ただし、上下のかみ合わせの状態によっては、
上だけ動かすのが難しい場合もあります!

見た目だけでなく、噛みやすさや長く安定する歯並びも大切なので、
まずは一度カウンセリングでお口の状態をチェックさせてください✨

「気になるところだけまず相談したい!」
そんな方も大歓迎です😊
お気軽にご連絡ください🤲💕‪

  • 矯正治療について
  • 0.5DAYハイスピードセラミック矯正治療
  • 24時間ご予約・ご相談受付中
  • 審美専門サイトはこちら

    治療例 施 術 名    │セラミック矯正治療
    料   金    │1本32,000円~70,000円(治療費は材質や治療本数によって異なります)
    考えられるリスク │治療後は正しく歯を磨く必要があります。清掃が不十分だと虫歯になったり歯周病を発症してしまいます。定期検診を受診してください。

博多プライベート歯科

〒812-0011
福岡市博多区博多駅前2-18-25 ホテル日航福岡 地下1F

[ TEL ] 092-260-3688

診察時間
LINE 【期間・人数限定】モニター患者様大募集!
博多プライベート歯科

〒812-0011

福岡市博多区博多駅前2-18-25
ホテル日航福岡地下1F

[TEL] 092-260-3688