2025/11/01
こんにちは、博多プライベート歯科の歯科衛生士です😊
今日は 「矯正モニターさんの経過シリーズ」 をお届けします🙋✨
実際の患者さんの変化を、写真とともにご紹介していきますので、「矯正ってどんな感じなんだろう?🤔」と
気になっている方の参考になれば嬉しいです💓
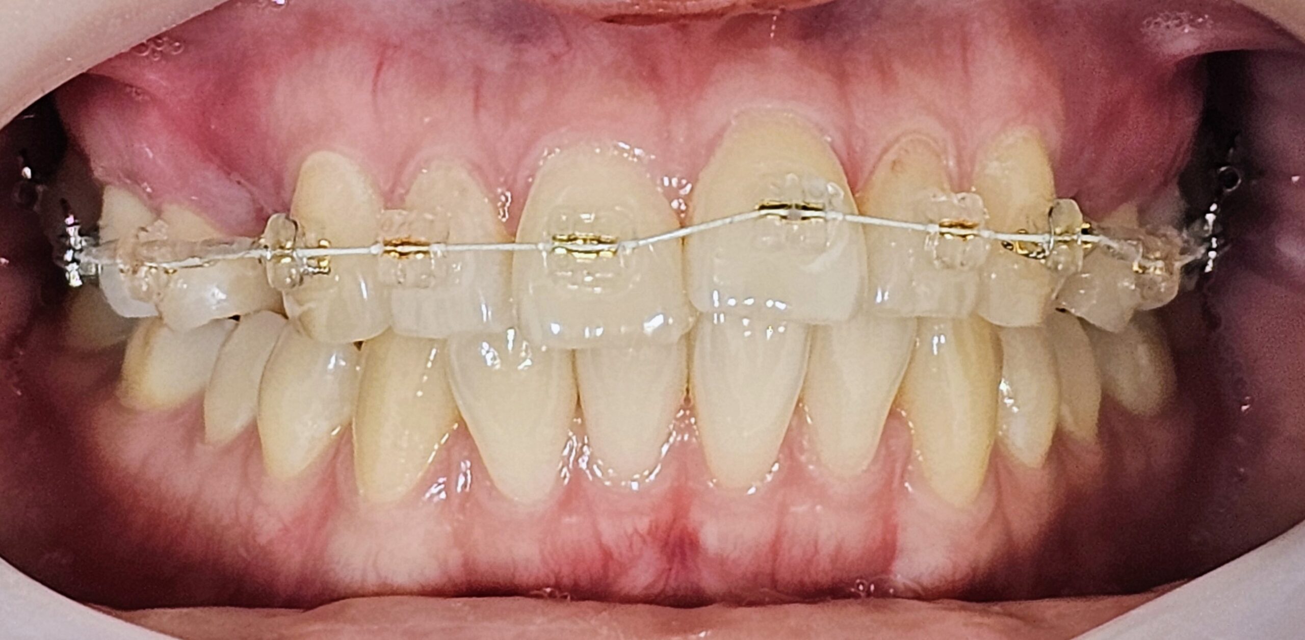
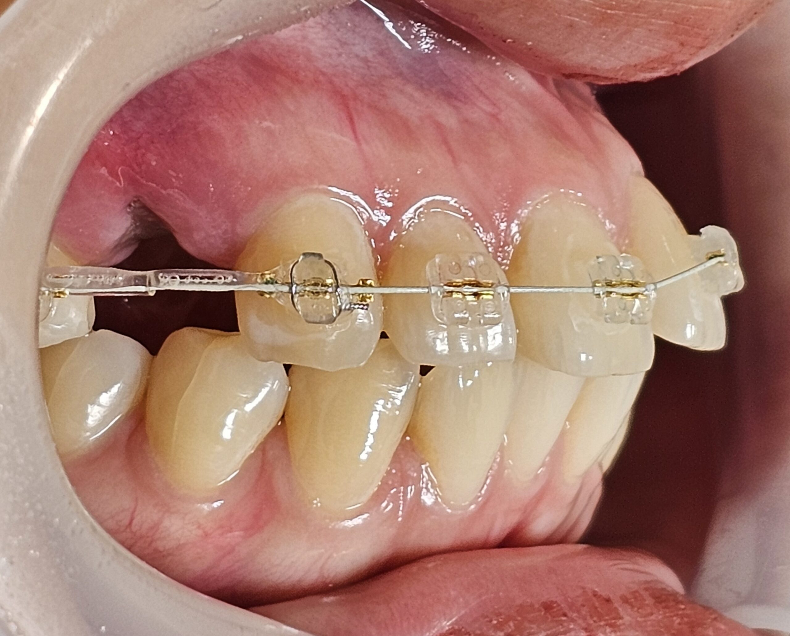
今回ご紹介するモニターさんは
➡全顎矯正の抜歯ケース
治したいのは前歯の前突(出っ歯)
では…
矯正装置を付けた1日目の写真です😄✨


これから少しずつ歯が動き見た目にも
変化が見えてきます😄✨
また経過をお伝えしていきますので、お楽しみに🩷
矯正のカウンセリングはいつでも受け付けております。
お気軽にご連絡ください👐💕












